You may read this html paper for more information about a neural network's ability to do non-linear discriminations for boundary detection. The user starts a trace using the mouse. When enough examples have been collected, the disk in the lower left corner goes green (it was red). Then the user can let go of the mouse. At this point, two things happen. A neural net is trained to recognize the traced pixels as boundary pixels and the resulting neural net is used to automatically continue the trace for a fixed number of pixels. The manually-traced pixels are in green and the automatically-traced pixels are in yellow. The user now has the option of using the trained net for further tracing or training a new net.
Here are some examples using MRI images of the brain from two subjects.
First we manually traced the cortex of the brain, starting with
the green pixels to the lower left. Then, we used the trained neural network to continue
tracing. The short green segments are the manual tracings, and the yellow
segments show the net's continuations.

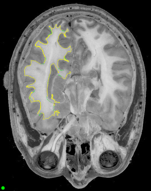
Here's what we get when we try to trace the ventricles.
We did this on two slices at roughly the same locations from different
subjects. We first traced by hand the
green pixels at the edge of the larger ventrical to the left in an image.
Then we used the resulting neural net to trace the other regions.

Here are two more slices from the same subject that donated the slice on the left
above.


